Почему важно заменять утраченные зубы коронками или протезами? 
   Позаботьтесь о здоровье сейчас — запишитесь на консультацию к стоматологу
 
  Возвращение эстетики улыбки
и психологического комфорта
 
 и психологического комфорта
 Профилактика деформации прикуса вследствие отсутствия зубов
 
  Полное восстановление жевательной
функции и четкой дикции
 
 функции и четкой дикции
 
  Все виды реставрации зубов, съемные
и частично-съемные протезы
 и частично-съемные протезы
 Протезирование зубов 
в Ставрополе 
  Что такое протезирование? 
  Протезирование зубов — это восстановление разрушенных или утраченных зубов, позволяющее не только получить красивую улыбку, но и полностью реализовать жевательные функции. 
 
  Различные виды протезирования зубов, применяющиеся сегодня, дают возможность восстановить как один зуб, так и несколько, и даже весь зубной ряд.  Для этого изготавливаются протезы, которые при необходимости могут сниматься или крепко фиксируются в полости рта без возможности снятия. 
  Имеются противопоказания, необходима консультация специалиста
 
  Почему важно вовремя восстанавливать утраченные зубы?
 
  Смещение зубов 
  Нагрузка на соседние зубы
 
  Атрофия кости
 
  Изменение пропорций лица
 
   Нажимая кнопку Вы даёте согласие на обработку персональных данных 
  Самые популярные виды протезирования в Клинике Доктора Коннова 
  Коронки и виниры
 
  Когда можно ставить 
  когда есть дефекты зубного ряда 
  для исправления цвета и формы зубного ряда 
  при промежутках между зубами 
  Зубы за 1 день 
  Несъемные зубные протезы
 
  Когда можно ставить 
  частичное отсутствие или разрушение зубов 
  Экспресс метод 
  Метод "Всё на 4-х"
 
  Когда можно ставить 
  частичное отсутствие зубов 
  полное отсутствие зубов 
  при тяжелой форме пародонтоза 
  при недостаточном уровне костной ткани 
  Зубы за 1 день 
  Съемные зубные протезы
 
  Когда можно ставить 
  полное отсутствие зубов 
  частичное отсутствие зубов 
  при противопоказаниях к несъемному протезированию 
  Бюджетный вариант 
  Этапы протезирования зубов 
  Подготовка к протезированию зубов 
 - Врач проводит осмотр и собирает анамнез
- Выполняем диагностику на современном оборудовании
- Планирование, выбор подходящего варианта протезирования
 Изготовление ортопедической конструкции 
 - При необходимости проводим лечение
- Снимаем оттиски с челюстей для изготовления протеза
- В лаборатории изготавливают ортопедическую конструкцию
 Фиксация ортопедической конструкции 
 - Врач-ортопед фиксирует протез в полости рта
- При надобности его корректируют по прикусу и шлифуют
 Надежность и прочность 
  Простая установка 
  Быстрое изготовление 
  На долгие годы 
  Без противопоказаний 
  Доступная цена 
 Без противопоказаний
С помощью современных технологий и материалов подходит для большинства пациентов
На долгие годы
Проверенные и качественные материалы, использование вплоть до истечения срока годности
Быстрое изготовление
Сроки изготовления от 1 дня. что позволяет пациенту жить полноценной жизнью
Простая установка
Нет необходимости в длительной подготовке и наращивании костной ткани
Надежность и прочность
Естественно выглядят и обладают стойкостью к жевательным нагрузкам
Доступная цена
Есть возможность подобрать вариант под любой бюджет
 
  Почему пациенты выбирают протезирование 
  Почему до 5000 пациентов ежегодно доверяют нам свои улыбки?
 
  Передовые технологии и методы протезирования 
  В нашей клинике применяются но новые технологии, которые дают возможность быстро и качественно проводить ортопедическую реабилитацию пациента. 
  Цифровая стоматология нового поколения 
  Используем цифровые технологии благодаря которым обеспечиваем максимальный комфорт пациенту и максимальную точность 
в изготовлении реставраций
 
 в изготовлении реставраций
 Опыт работы более 12 лет 
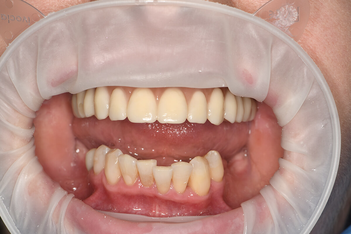
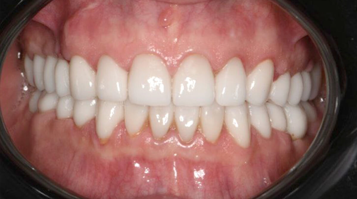
  Оцените уровень протезирования и сделайте выводы сами 
  Посмотрите на наши результаты 
  Врачи  
  Наши специалисты постоянно повышают профессиональную квалификацию, регулярно участвуют в мастер-классах и семинарах. 
  Директор ООО «МИКОН», стоматолог-имплантолог, стоматолог-хирург
 
  Коннов Михаил Иванович
 
  Стаж работы более 20 лет 
 - Работает со всеми видами протезирования и имплантации. Выполняет сложные виды хирургического вмешательства.
- Достигает идеального результата.
 Стоматолог-имплантолог
 
  Бажанов Денис Алексеевич
 
  Стаж работы более 6 лет
 
 - Врач-профессионал, восстанавливает эстетическую красоту улыбки и функциональность зубов для полноценной жизни.
- Регулярно повышает профессиональный уровень.
 Посмотрите видео-отзывы наших пациентов, мы гордимся своими работами 
  Наши любимые пациенты 
  Мы благодарны за каждый отзыв о нашей работе 
  Стоимость услуг 
  Протезирование зубов 
  Запишитесь прямо сейчас 
на осмотр и консультацию
 
 на осмотр и консультацию
 В ближайшее время с Вами свяжется администратор и проконсультирует Вас по ближайшей дате и времени записи на приём 
  Независимые рейтинги   
   Наши клиенты оставили более 500 отзывов на независимых ресурсах   
  Ответы на вопросы по протезированию зубов
 
  Какое протезирование рекомендуется при полном отсутствии зубов? 
   Какой вид протезирования можно назвать оптимальным при отсутствии одного или двух зубов? 
   Сколько времени займет несъемное протезирование? 
   Протезировать зубы больно? 
   Как долго привыкать к протезу? 
   Через какое время после удаления зуба можно ставить протез? 
   Существуют ли противопоказания к протезированию? 
   Какая стоимость протезирования зубов? 
   Вам понравится в нашей клинике - уют, чистота, дружелюбное отношение стоматологов и персонала 
  Контакты 
   Ставрополь, ул. 50 лет ВЛКСМ, 33  
   Режим работы: 
Будни с 9:00 до 20:00
Сб. с 9:00 до 16:00
Вс. с 9:00 до 14:00
 Будни с 9:00 до 20:00
Сб. с 9:00 до 16:00
Вс. с 9:00 до 14:00